医師が迷えば、患者さまは不安になってしまいます。
私たちが提供するのは「不安のない診断・治療」。

歯の治療では本来、「その1本だけを診る」ことはありえません。人それぞれ異なるお口の中で、全体がどうかみ合わさっているかを把握する必要があります。さらに開口(奥歯をかみ合わせた時に前歯が合っていない状態)であったり、歯茎が見えやすいことが気になっておられたり、また過去の修復物が多いなどの場合も考慮する必要があります。
患者さまがインプラントをご希望であったとしても、その後のメンテナンスがどれくらい可能かも、考慮します。なぜなら「今、状況が改善する」だけでなく「どれだけ良い状況が持続できるか」が重要な要素だからです。
治療のプロセスは、ゴールとなる完成形を最初に思い描き、そこに向かって順序を踏んでゆく作業となります。全体を把握し、最後の形とそこに至る道のりが判っていれば、迷いはありません。
歯科における高い技能とセンスはどこにあらわれるか。それは「迷わない」ことにあると確信しております。
症例
下記は、当院で行った治療の症例です。
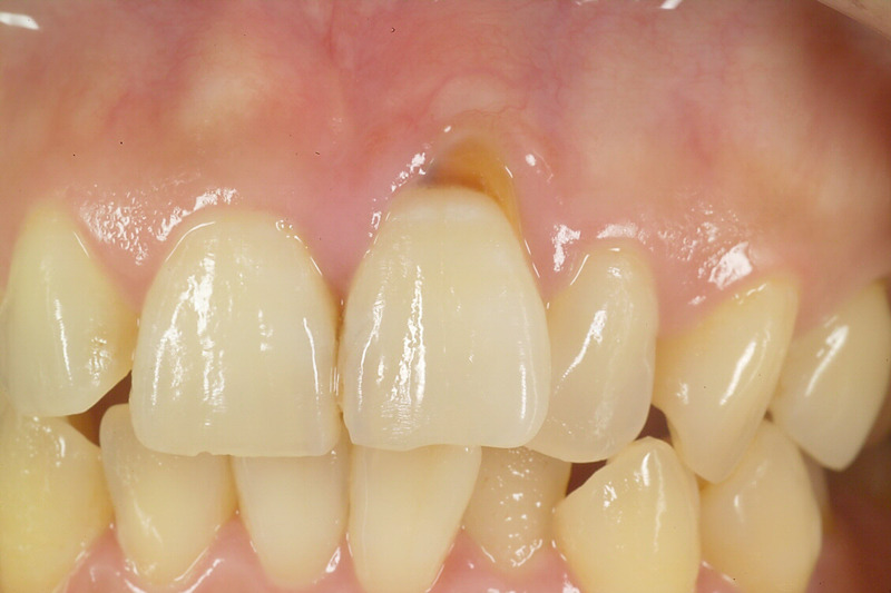
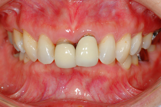
インプラント前歯
Case1
術前

術後
Case2
術前

術後
インプラント全顎
Case1
術前

術後
Case2
術前

術後
Case3
術前

術後
インプラントオーバーデンチャー
術前

術後
審美
術前

術中

術後
審美ブリッジ
術前

術後
ポーセレンラミネートベニア
術前

術中

術後
ホワイトニング
術前
術後
ルートカバー
術前
術中
術後



